Протезирование зубов
Мы специализируемся на самом современном и высокоэстетичном восстановлении отсутствующих и разрушенных зубов. Эволюция технологий и наш опыт позволяют добиваться потрясающих результатов лечения и не всегда прибегать к препарированию зубов, в чём вы можете убедиться, обратившись к нам в клинику.
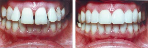
ИМАКС (IPS e.max Ivoclar) - на сегодня, пожалуй, самая прогрессивная технология изготовления цельнокерамических реставраций зубов. Имакс это высокопрочная безметалловая керамика, которая используется для изготовления керамических виниров, вкладок, накладок и коронок.
Реставрации, изготовленные по технологии Имакс, применяются для восстановления как передних, так и боковых зубов.
ОКСИД ЦИРКОНИЯ, ДИОКСИД ЦИРКОНИЯ И "ЦИРКОНИЕВЫЕ КОРОНКИ" - все эти термины являются синонимами, поэтому в разных источниках вы можете встретить абсолютно разные интерпретации керамических реставраций, которые изготавливаются по технологии компьютерного моделирования и производства.
Керамические реставрации изготовленные на основе Оксида Циркония, обладают высокими эстетическими свойствами, имеют высокую механическую прочность, но самое главное они биологически совместимы. Эта технология восстановления зубов позволяет изготавливать красивые и прочные керамические реставрации, которые абсолютно совместимы с организмом человека и не вызывают побочных реакций.
Если у вас есть непереносимость некоторых стоматологических материалов, применяемых в протезировании зубов, то керамические реставрации на основе Оксида Циркония могут стать отличным решением в вашей клинической ситуации. Также вы должны знать, что безметалловая керамика на основе оксида циркония великолепно подходит для восстановления как передних, так и боковых зубов, а самое главное можно изготавливать потрясающие реставрации и конструкции с фиксацией на имплантатах.
Классические виниры
Виниры - это керамические или композитные пластинки, замещающие вестибулярную (внешнюю) поверхность зуба/ов.Они позволяют полностью исправить или корректировать частично нарушение формы или цвета зубов. Виниры изготавливаются в соответствии с представлениями об эстетике улыбки, цветом зубов пациента и с учетом его пожеланий.
Виниры могут быть изготовлены по классической мануальной технологии методом наслоения на рефракторах - это самые красивые и "живые" виниры, методом прессования заготовки и ее последующего раскрашивания, методом фрезерования заготовки и окрашивания специальными керамическими красителями.
Увеличение размера зубов
В нашей практике очень часто встречаются пациенты с так называемой "десневой" улыбкой. Т.е. во время улыбки визуализируются не только зубы, но и десневой край. Не всегда такая улыбка смотрится гармонично и поэтому существует методика увеличения размера зубов путём коррекции десневого края.
Подробнее у администратора стоматологического отделения по тел. 8-800-250-32-90.






