Поиск по сайту
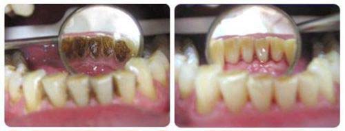
Профессиональная чистка зубов
Профессиональная чистка это СПА для ваших зубов. Регулярное снятие зубных отложений позволяет не только сделать вашу улыбку красивее за счёт того, что зубы становятся зрительно светлее, но и является профилактикой воспаления десневого края. Плановая профессиональная чистка должна проводиться каждые 6 месяцев, что позволит сохранить ваши зубы в отличном состоянии.
Подробнее по тел. 8-800-250-32-90.






