Коронарография
Ишемическая болезнь сердца (ИБС) – ведущая причина смерти многих мужчин и женщин во всем мире. Это заболевание возникает вследствие недостаточности притока крови, обогащенной кислородом, к мышце сердца. Кислород доставляется клетками крови ко всем органам, тканям, каждой клетке нашего организма, обеспечивая тем самым жизнедеятельность.
Сердце – это центральный орган системы кровообращения. За счет его работы и происходит транспорт кислорода кровью ко всем органам. Как и любому другому органу, сердцу тоже необходимо питание кислородом. К мышечным клеткам сердца, кислород доставляется по кровеносным сосудам (коронарные артерии). Когда коронарные артерии хорошо проходимы и в них нет препятствия току крови, сердце получает достаточное питание и хорошо функционирует. Таким образом, есть соответствие между потребностью сердечной мышцы в кислороде и его доставкой.
Однако, со временем, из-за разных причин и неблагоприятных факторов в жизни человека, в коронарных артериях образуются атеросклеротические бляшки, которые и становятся причиной сужения просвета коронарных артерий. При прогрессировании атеросклеротического поражения коронарных артерий стеноз (сужение) увеличивается и приводит к снижению притока крови к сердечной мышце. Сердечная мышца не получает необходимой ей обогащенной кислородом крови. Недостаток питания кислородом сердечной мышцы и есть ИБС.
В результате нарушения питания сердечной мышцы, особенно во время физической или эмоциональной нагрузки, возникают приступы болей за грудиной (стенокардия). Стенокардия – это и есть тот «звонок», который должен подтолкнуть к срочным действиям. Если ничего не предпринимать, то со временем может произойти гибель клеток сердца – Инфаркт Миокарда (ИМ). При этом часть сердца, которая погибла, перестает участвовать в сокращении и сердце не справляется с возложенной на него задачей. Органы и ткани организма перестают получать в свою очередь достаточное питание кислородом из за плохой сократимости сердца. ИМ приводит в лучшем случае к инвалидизации, либо к гибели. Вот почему так важно вовремя задумываться о своем здоровье.
При первых же симптомах стенокардии необходимо обратиться к кардиологу для проведения полноценного обследования и назначения правильного лечения. Когда диагноз ИБС действительно подтвержден кардиологом, в ряде ситуаций по установленным показаниям необходимо выполнение Коронарографии – «золотого стандарта» в диагностике ИБС.
Исследование выполняется под местной анестезией места пункции. Пациент находится в сознании. Неприятные ощущения могут возникать именно в момент пункции, дальнейшее продвижение инструментов по сосудам организма безболезненное (внутри сосудов нет болевых рецепторов). Выполняется пункция артерии на руке или на ноге, устанавливается специальное устройство - шлюз (позволяющий вводить инструменты в артерию без развития кровотечения). Далее через шлюз вводятся катетеры (длинные около 1м, упругие трубочки и загнутые на конце), по артериям как по туннелям катетеры продвигаются к сосудам сердца (все манипуляции внутри организма выполняются под рентгенконтролем). Затем кончик катетера (который находится внутри организма) устанавливается в устье (начало) коронарной артерии, а через второй конец (который находится в руках у врача) вводиться контрастный раствор с одновременным выполнением рентгеноскопии и записью полученного изображения на компьютер. На заключительном этапе все инструменты удаляются и осуществляется гемостаз (остановка кровотечения из места пункции) с последующим наложением давящей повязки. Вся процедура занимает в среднем от 10 до 20 минут, в зависимости от анатомических особенностей пациентов. После выполнения процедуры, прошедшей в штатном режиме через руку, соблюдения специального режима не требуется.
У человека в норме две коронарные артерии (правая и левая), которые исследуются последовательно. Коронарные артерии лежат на поверхности сердца. С учетом того, что при каждой съемке коронарографии мы получаем плоскостное изображение, для получения полноценной картины о состоянии коронарных артерий выполняется несколько съемок в разных проекциях, при этом аппарат, излучающий рентген, меняет свое положение относительно тела пациента. По завершению процедуры врач приступает к анализу полученных данных. КАГ даёт возможность в любой проекции рассмотреть проблемные участки сердца и сосудов и поставить окончательный диагноз, познакомить специалистов и пациента с результатами обследования, и, когда это необходимо, правильно спланировать оперативное лечение.
Сегодня коронарография - самый передовой и точный метод обследования сосудов сердца и считается «золотым стандартом» в диагностике ИБС и в принятии решения о тактике дальнейшего лечения пациента (нужно ли ему выполнять операцию (аорто-коронарное шунтирование (АКШ), выполняемое кардиохирургами под наркозом или ангиопластику со стентированием, выполняемую рентгенохирургами под местным обезболиванием) или достаточно медикаментозного лечения). Несмотря на развитие большого количества новых методов исследования, замены коронарографии в настоящее время нет!
Впервые коронарография была выполнена в 50-х годах прошлого столетия. За это время многое изменилось: оборудование, расходные материалы, накоплен большой опыт по выполнению коронарографии. Сегодня можно сказать, что выполнение коронарографии безопасно при строгом соблюдении правил и оценке возможных рисков. Частота всех осложнений при выполнении коронарографии составляет не более 2%, при этом частота серьезных осложнений не более 0.4%. При этом важно отметить, что не проведение КАГ в случаях, когда есть медицинские показания к её проведению, может грозить пациенту гораздо большими рисками, так как не позволяет правильно оценить состояние пациента и определить наиболее правильную тактику лечения! По данным мировой статистики частота осложнений при коронарографии зависит врача, выполняющего исследование. Если врач выполняет достаточное количество подобных процедур, то осложнения случаются редко, при этом врачи умеют быстро и эффективно бороться с развившимися осложнениями и наоборот. Поэтому важно выполнять коронарографию в клиниках, обладающих современным оборудованием, у специалистов с большим опытом работы.
В нашей клинике коронарография проводится с использованием лучевого доступа (через руку). Поэтому процедура коронарографии минимально травматична.
Так выглядят коронарные артерии при коронарографии (пример без патологии):

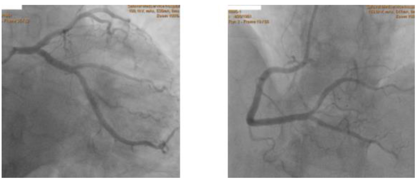
Примеры, где выявлены проблемы, подлежащие оперативному лечению. В данных случаях выполнено одномоментное стентирование (на фото – коронарография до и после стентирования):

В связи с тем, что в клинике рентгенэндоваскулярные диагностические процедуры (коронарография, ангиография) и оперативные вмешательства (ангиопластика, стентирование, эмболизация, др.) выполняются без очереди, что трудно достижимо в системе бюджетного здравоохранения, пациент, независимо от времени обращения, всегда может получить помощь в кратчайшие сроки (по факту обращения), что очень важно, так как болезнь никогда не выбирает удобное для пациента и для системы здравоохранения время. В случае ИБС, проведение коронарографии без очереди позволяет оперативно поставить более точный диагноз и выбрать наиболее правильную тактику лечения. Такой подход позволяет свести к минимуму риски естественного течения ИБС, в ряде случаев предупредить развитие острого инфаркта миокарда.
Теперь пациенты имеют возможность пройти обследование и лечение в ООО "Медсервис" у специалистов с большим опытом работы по этому направлению на самом современном ангиографическом комплексе Philips Allura Xper FD20 (Нидерланды). Этот аппарат с новой цифровой системой обработки изображений имеет уникальную технологию подавления шумов и артефактов, что дает возможность значительно повысить четкость изображения без увеличения лучевой нагрузки и увидеть самые тонкие сосудистые структуры и стенты. Рентгеновская трубка последнего поколения сводит к минимуму лучевую нагрузку на пациента.
Вопросы, связанные с проведением ангиографических и рентгенэндоваскулярных вмешательств в ООО "Медсервис, вы можете задать:
Тел.: +7 (3476) 39-52-38, эл. почта: 402iag@salavatmed.ru
Иванов Андрей Геннадьевич (заведующий отделением рентгенохирургических методов диагностики и лечения, врач высшей категории по специальности “рентгенэндоваскулярная диагностика и лечение”)






